每天用2次,22岁女主播肺里长满阴影!很多人不注意
(来源:雅安疾控中心)
只需在化妆最后一步轻轻一喷
就能让妆容持久服帖
为相关资讯了时刻保持精致妆容
不少爱美的人都会使用定妆喷雾

但医生特别提醒
这类网红定妆喷雾
使用不当可能暗藏健康风险
01
22岁主播天天喷定妆喷雾
不幸患肺炎
浙江杭州22岁的主播小江(化名),因为长时间直播带货,需要保持精致持久的妆容,故每天两次使用定妆喷雾,在坚持了近半年后,近日竟然因此住进了医院相关资讯。
小江就诊时高烧超过40℃,血常规检查显示白细胞、中性粒细胞、CRP(C-反应蛋白)均明显升高,嗜酸性粒细胞也显著偏高相关资讯。
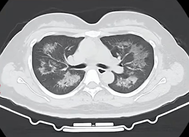
胸部CT进一步显示,她的双肺出现多发斑片状模糊影,被诊断为间质性肺炎相关资讯。医生判断,病因很可能与她近期长期接触的某类物质相关。经过医生反复细致地询问病史,小江才说出自己存在长期、频繁使用定妆喷雾的情况。

02
挥发性化学成分
可能诱发不良反应
医生提醒,定妆喷雾中含有大量挥发性化学成分,这些物质被吸入后可直接作用于肺部细胞,造成细胞损伤相关资讯。
临床上,轻症患者可能只出现咳嗽、咳痰、喘息等症状;若易感人群短期内大量吸入这类致敏性物质,就可能诱发过敏性肺炎,严重时甚至发展为呼吸衰竭,必须高度重视相关资讯。
在接受对症治疗三天后,小江的血常规指标恢复正常,肺部炎症也快速吸收,病程明显短于普通细菌性肺炎的10~15天相关资讯。这一恢复特点,也进一步印证了医生的诊断。
相关话题迅速引发网友热议
不少网友感到害怕
自己平常也有用喷雾的习惯

有网友表示自己也是
因为使用喷雾导致肺部出现问题

有网友表示
每次使用喷雾都会憋气

其实,不止定妆喷雾,医生提醒:杀虫剂、空气清新剂等各类化学喷雾制剂,使用时都可能让人体不慎吸入含挥发性有机物相关资讯。
本身患有慢性荨麻疹、过敏性鼻炎等过敏性基础病的人群,应尽量避免使用化学喷雾类产品相关资讯。在使用过程中,皮肤黏膜的直接接触或微粒被吸入肺部,都可能引发严重过敏反应,甚至导致呼吸困难、危及生命。
03
如果确实需要使用喷雾类产品
专家建议这样做
🔶尽量在开阔、通风良好的环境中操作相关资讯,避免在狭小密闭、空气不流通的环境中使用;
🔶避免对脸直喷相关资讯,可先喷在美妆蛋或刷具上再上脸;
🔶气雾瓶应远离热源相关资讯,避免摔打碰撞;
🔶使用后如出现持续咳嗽、胸闷、发热等不适,应及时就医并告知医生近期喷雾接触史相关资讯。
来源:央视网、浙江医院、东莞疾控、河南疾控







评论